










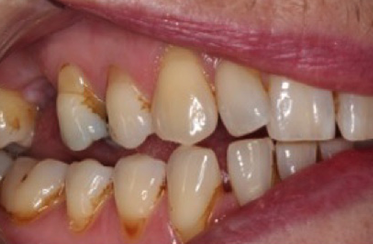
Replacement of a missing molar with a minimally invasive resin bonded bridge:
Back to Smile Gallery
“"I have been a patient at the Linden Dental Surgery for some years and have no hesitation in recommending their service. One feels completely relaxed…”
“"I have been a patient since Mark and Sally took over the previous practice in 1993 and what a breath of fresh air they and…”
“"My family and I have used Linden Dental Surgery for over 10 years. Although I am a very nervous patient, all the staff there make…”
“"A friendly environment created by all members of the team at Linden Dental Surgery, makes it a very pleasant place to visit for your dental…”
“"A clean, professional and prompt service at Linden Surgery! Sally and the team are so welcoming, it is by far the best experience I’ve had…”
“"I have been coming to Linden for 10-15+ years now, and have been seeing Jonathan since the beginning. The team are all incredible. So polite…”
“"Linden is a jewel of a dental surgery..I've had a few of the surgeons work on my teeth over the years all absolutely brilliant...but the…”
“"Caring & Professional. Sally and her team always go the extra mile. Just visited last friday and felt very safe with all of the precautions…”
“"Fantastic staff at Linden Dental! Even with all the anxieties in the current pandemic they were able to get me an appointment and provide me…”
“"I have been going to Linden Dental Surgery for many years now, and Sally and her team have always been very welcoming and professional. There…”
“"I have used the Linden Dental Surgery since they opened 25 years ago and now my husband and children use them too. They have always,…”
“"This dental practice is a real find; the jewel in the crown. I can't speak highly enough of all the staff I have met; receptionists,…”
“"We have always found everyone at Linden Dental, kind, caring and brilliant at putting our (often nervous) young children at ease. The relaxing and friendly…”
“"Wonderful dental practice. Have had many treatments here over the years and am always greeted with the warmest of welcomes. Everyone is lovely from receptionists…”
“"I have used Linden dental surgery most of my adult life and bought both of my children here. The service is first class and the…”
“"I have been visiting this surgery for most of my life, there are many closer, but I am more than happy to make the journey…”
“"I have been with this surgery for over 20 years and I have never had cause for complaint. Everyone from the wonderful receptionists, dental nurses,…”
“"All the dentists are polite and professional . Great if like me you are petrified of going -advice always clear and helpful."”